
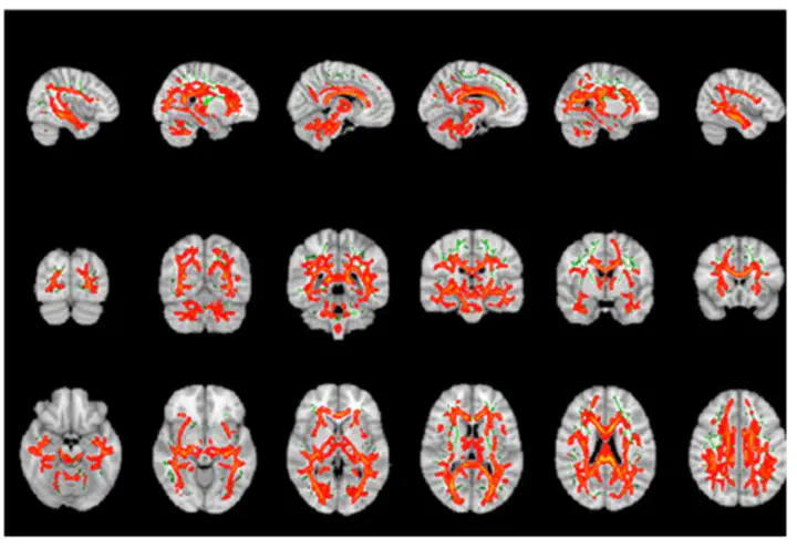
Advanced structural brain imaging techniques, such as diffusion tensor imaging (DTI), have been used to study the relationship between DTI-parameters and cognitive scores in multiple sclerosis (MS). In this study, we assessed cognitive function in 61 individuals with MS and a control group of 35 healthy individuals with the Symbol Digit Modalities Test, the California Verbal Learning Test-II, the Brief Visuospatial Memory Test-Revised, the Controlled Oral Word Association Test, and Stroop-test. We also acquired diffusion-weighted images (b = 1000; 32 directions), which were processed to obtain the following DTI scalars: fractional anisotropy, mean, axial, and radial diffusivity. The relation between DTI scalars and cognitive parameters was assessed through permutations. Although fractional anisotropy and axial diffusivity did not correlate with any of the cognitive tests, mean and radial diffusivity were negatively correlated with all of these tests. However, this effect was not specific to any specific white matter tract or cognitive test and demonstrated a general effect with only low to moderate individual voxel-based correlations of textless0.6. Similarly, lesion and white matter volume show a general effect with medium to high voxel-based correlations of 0.5-0.8. In conclusion, radial diffusivity is strongly related to cognitive impairment in MS. However, the strong associations of radial diffusivity with both cognition and whole brain lesion volume suggest that it is a surrogate marker for general decline in MS, rather than a marker for specific cognitive functions.